-
中文名稱:ADAMTS5兔多克隆抗體
-
貨號:CSB-PA925454
-
規格:¥1100
-
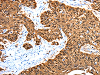
圖片:
-
The image on the left is immunohistochemistry of paraffin-embedded Human esophagus cancer tissue using CSB-PA925454(ADAMTS5 Antibody) at dilution 1/30, on the right is treated with synthetic peptide. (Original magnification: ×200)
-
Gel: 8%SDS-PAGE, Lysate: 40 μg, Lane: Human fetal brain tissue, Primary antibody: CSB-PA925454(ADAMTS5 Antibody) at dilution 1/650, Secondary antibody: Goat anti rabbit IgG at 1/8000 dilution, Exposure time: 3 seconds
-
-
其他:
產品詳情
-
Uniprot No.:
-
基因名:
-
別名:A disintegrin and metalloproteinase with thrombospondin motifs 11 antibody; A disintegrin and metalloproteinase with thrombospondin motifs 5 antibody; A disintegrin like and metalloprotease (reprolysin type) with thrombospondin type 1 motif 5 antibody; A disintegrin like and metalloprotease (reprolysin type) with thrombospondin type 1 motif, 5 (aggrecanase 2) antibody; A disintegrin-like and metalloprotease with thrombospondin type 1 motif, 5 antibody; A Disintigrin And Metalloproteinase with ThromboSpondin motif-5 antibody; ADAM metallopeptidase with thrombospondin type 1 motif 5 antibody; ADAM TS 11 antibody; ADAM TS 5 antibody; ADAM TS5 antibody; ADAM-TS 11 antibody; ADAM-TS 5 antibody; ADAM-TS5 antibody; ADAMTS 11 antibody; ADAMTS 5 antibody; ADAMTS-11 antibody; ADAMTS-5 antibody; ADAMTS11 antibody; ADAMTS11, formerly antibody; Adamts5 antibody; ADMP 2 antibody; ADMP-2 antibody; ADMP2 antibody; Aggrecanase 2 antibody; Aggrecanase-2 antibody; ATS5_HUMAN antibody; FLJ36738 antibody; Implantin antibody; ThromboSpondin motif-5 antibody
-
宿主:Rabbit
-
反應種屬:Human,Mouse,Rat
-
免疫原:Synthetic peptide of Human ADAMTS5
-
免疫原種屬:Homo sapiens (Human)
-
標記方式:Non-conjugated
-
抗體亞型:IgG
-
純化方式:Antigen affinity purification
-
濃度:It differs from different batches. Please contact us to confirm it.
-
保存緩沖液:-20°C, pH7.4 PBS, 0.05% NaN3, 40% Glycerol
-
產品提供形式:Liquid
-
應用范圍:ELISA,WB,IHC
-
推薦稀釋比:
Application Recommended Dilution ELISA 1:1000-1:5000 WB 1:500-1:2000 IHC 1:50-1:200 -
Protocols:
-
儲存條件:Upon receipt, store at -20°C or -80°C. Avoid repeated freeze.
-
貨期:Basically, we can dispatch the products out in 1-3 working days after receiving your orders. Delivery time maybe differs from different purchasing way or location, please kindly consult your local distributors for specific delivery time.
-
用途:For Research Use Only. Not for use in diagnostic or therapeutic procedures.
相關產品
靶點詳情
-
功能:Metalloproteinase that plays an important role in connective tissue organization, development, inflammation and cell migration. Extracellular matrix (ECM) degrading enzyme that show proteolytic activity toward the hyalectan group of chondroitin sulfate proteoglycans (CSPGs) including ACAN, VCAN, BCAN and NCAN. Cleavage within the hyalectans occurs at Glu-Xaa recognition motifs. Plays a role in embryonic development, including limb and cardiac morphogenesis, and skeletal muscle development through its VCAN remodeling properties. Cleaves VCAN in the pericellular matrix surrounding myoblasts, facilitating myoblast contact and fusion which is required for skeletal muscle development and regeneration. Participates in development of brown adipose tissue and browning of white adipose tissue. Plays an important role for T-lymphocyte migration from draining lymph nodes following viral infection.
-
基因功能參考文獻:
- Data suggest that 3prime untranslated region of ADAMTS5 mRNA contains 'seedmatched-sequence' for hsa-miR-140-3p (microRNA-140-3p); in chondrocytes from articular cartilage of patients with knee osteoarthritis, interleukin-1beta up-regulates expression of ADAMTS5 and down-regulates expression of hsa-miR-140-3p. (ADAMTS5 = ADAM metallopeptidase with thrombospondin type 1 motif 5 A) PMID: 28110479
- A novel genetic variant in ADAMTS5 is associated with bicuspid aortic valve disease. PMID: 29162281
- expression by synovial cells induced by hemoglobin at low doses, suggesting a possible role for hemoglobin in cartilage damage after intra-articular hemorrhage PMID: 29137610
- The SNPs rs1337185 in COL11A1 and rs162509 in ADAMTS5 are associated with susceptibility to lumbar disc degeneration. The C allele of rs1337185 is risky for patients who are affected by lumbar pathologies such as disc herniation, stenosis and spondylolisthesis. The G allele of rs16250 represents a risk factor for the development of disc herniation. PMID: 28583914
- ADAMTS5 is hypermethylated and inhibits cancer cells invasion and migration in colorectal cancer, and correlates with OS and DFS. PMID: 29143120
- Development of a monoclonal anti-ADAMTS-5 antibody that specifically blocks the interaction with LRP1. PMID: 28306378
- MMP-13 may play a role on physiological turnover of cartilage extracellular matrix and that LRP1 is a key modulator of extracellular levels of MMP-13 and its internalization is independent of the levels of ADAMTS-4, -5 and TIMP-3. PMID: 27084377
- The IL1B/AP-1/miR-30a/ADAMTS-5 axis regulates cartilage matrix degradation in osteoarthritis. PMID: 27067395
- The findings suggest that miR-140 suppresses colorectal cancer progression and metastasis, possibly through downregulating ADAMTS5 and IGFBP5. PMID: 27906093
- Results provide direct evidence indicating that Fibulin-2 is a novel substrate of ADAMTS-5 and that this proteolysis could alter the cellular microenvironment affecting the balance between protumor and antitumor effects associated to both Fibulin-2 and the ADAMTSs metalloproteases. PMID: 28099917
- Endoplasmic reticulum stress participates in the progress of senescence and apoptosis of osteoarthritic chondrocytes, which manifested in increased expression of ADAMTS5, MMP13, and decreased COL2A1 expression. PMID: 28728848
- Single Nucleotide Variants of Candidate Genes in Aggrecan Metabolic Pathway Are Associated with Lumbar Disc Degeneration and Modic Changes PMID: 28081267
- RREB1 cooperates with noncoding RNA linc-ADAMTS5 to inhibit ADAMTS5 expression, thereby affecting degeneration of the extracellular matrix (ECM) of the intervertebral disc. PMID: 28341660
- Matrilin 2 accumulation associated with relative ADAMTS5 deficiency may contribute to the mechanism underlying calcific aortic valve disease progression. PMID: 28546218
- In osteoarthritis (OA) chondrocytes, hydrostatic pressure (HP) restores the expression levels of some miRNAs, downregulates MMP-13, ADAMTS-5, and HDAC-4, and modulates the Wnt/beta-catenin pathway activation. PMID: 28085114
- we investigated whether important polymorphisms in the ADAMTS4 and ADAMTS5 genes affect osteoarthritis (OA) susceptibility. ADAMTS4 and ADAMTS5 genotypes were determined using the ABI Prism StepOnePlus Real-Time system. Our findings suggest that the ADAMTS4 (rs4233367 and rs11807350) and ADAMTS5 (rs226794 and rs2830585) variants examined may not contribute to susceptibility to knee OA in the Turkish population. PMID: 27706574
- Increased ADAMTS5 levels were observed in placental insufficiency cases. PMID: 27159841
- ADAMTS5 protein levels in semen were significantly lower in males with infertility. Sperm count and motility showed a negative correlation with levels of ADAMTS5 protein expression. PMID: 26888488
- Overexpression of ADAMTS5 is associated with migration and invasion of non-small cell lung cancer. PMID: 26738863
- ADAMTS5 rs2380585 polymorphism contributes to hepatocellular carcinoma susceptibility in a Chinese Han population PMID: 25519309
- The findings of our study suggest that hsamiR15a exerts protective effects against osteoarthritis by targeting ADAMTS5 in human chondrocytes. PMID: 26707794
- Evaluate ADAMTS-4 and ADAMTS-5 immunohistochemical expression in human TMJ discs from patients affected by internal derangement. PMID: 25477257
- The data showed that the expression of ADAMTS5 was reduced in HCC, which was inversely associated with VEGF expression, MVD, and tumor size and associated with poor overall survival of HCC patients. PMID: 25848214
- Data suggest that ADAMTS-5 oligomerization is required for full aggrecanase activity in vitro and in situ (as seen in knee joint of mouse model of inflammatory arthritis); thus, blocking oligomerization inhibits ADAMTS-5 activity. PMID: 26668318
- These data demonstrate that the antibody is specific to ADAMTS4 and ADAMTS5 and inhibits their aggrecanase activity at molecular and cellular levels. PMID: 26612259
- Western blot analysis of endogenous ADAMTS-5 expressed by human chondrocytes showed the presence largely of truncated forms of ADAMTS-5, thus explaining the lack of efficacy of the anti-Sp antibody. PMID: 26303525
- We conclude that the upregulation of TNF-alpha and ADAMTS-5, but not ADAMTS-4, may play an important role in degenerative cartilage endplate-induced low back pain. PMID: 24732836
- The present study reveals ADAMT-5 expression by mast cells(MCs) and that MC activation regulates the expression of the protease, thus implicating the ADAMT-5 of protease in MC function. PMID: 23154421
- The ADAMTS5 ancillary domain and specific chondroitin sulfate chains of versican are required for proteolysis. PMID: 25122765
- The restricted expression of ADAMTS-4 and ADAMTS-5 and their increased expression in gestational trophoblastic diseases suggest that these 2 ADAMTS subtypes are associated with human placentation and the development of gestational trophoblastic diseases. PMID: 24786121
- psiepsilonRACK induced upregulation of hsa-miR-377 expression, coupled to decreases in ADAMTS5 and cleaved aggrecan PMID: 24312401
- No ADAMTS5 rs226794 genotype variant effects are found in association with ATP in two independent populations. PMID: 23491141
- This study highlights that the affinity between a ligand and LRP1 dictates the rate of internalization and suggests that LRP1 is a major traffic controller of the two aggrecanases, especially under inflammatory conditions, where the protein levels of ADAMTS-4 increase, but those of ADAMTS-5 do not. PMID: 24474687
- Our results suggest that the ADAMTS5 gene polymorphisms may contribute to the susceptibility of osteoarthritis in the Chinese Han population. PMID: 22961118
- study indicates the SNPs of ADAMTS-5 may contribute to predisposition of lumbar intervertebral disc degeneration (LDD); an interaction between rs151058 and rs229052 may exist in ADAMTS-5 with LDD; rs162502 might be associated with altered Mean Diffusivity values PMID: 24415654
- We have demonstrated that the expression of ADAMTS-1, -4 and -5 is induced during the differentiation of monocytes into macrophages. PMID: 23859810
- RelA/p65 is a potent transcriptional activator of ADAMTS5 in chondrocytes during osteoarthritis development. PMID: 23963448
- ADAMTS-5/aggrecanase-2 is the main aggrecanase present in laryngeal carcinoma PMID: 23131589
- The serine protease tissue plasminogen activator (tPA) and two matrix metalloproteinases, ADAMTS-4 and ADAMTS-5, were identified as Reelin cleaving enzymes. PMID: 23082219
- LRP-1 dictates physiological and pathological catabolism of aggrecan in cartilage as a key modulator of the extracellular activity of ADAMTS-5. PMID: 23064555
- study showed that ADAMTS-1, -4, -5 and TIMP3 were expressed at differential levels in hepatocellular carcinoma cell lines PMID: 22735305
- This is the first report that ADAMTS5 is an anti-angiogenic and anti-tumorigenic protein independent of its proteoglycanase activity. PMID: 22796434
- the first evidence implicating ADAMTS-5 in the regulation of proteoglycan turnover and lipoprotein retention in atherosclerosis. PMID: 22493487
- Data show that the expression of ADAMTS4, 9, 16 and was up-regulated during chondrogenesis, ADAMTS1 and 5 were down-regulated. PMID: 22562232
- a physiological function of ADAMTS5 in dermal fibroblasts is to maintain optimal versican content and PCM volume by continually trimming versican in hyaluronan-versican aggregates. PMID: 21828051
- ADAMTS-5 is present in human coronary atherosclerotic plaques. PMID: 21345877
- The ADAMTS5 promoter is activated by serum depletion according to promoter reporter assays in HEK 293 cells. PMID: 20494980
- Structure analysis with a succinamide inhibitor reveals the flexibility of the ADAMTS-5 active site. PMID: 21370305
- four of the six aggrecanases are expressed in immortalized chondrocyte cell-lines and can be upregulated in response to inflammatory cytokines PMID: 20568084
- ADAMTS-5 is probably involved in the process of herniated intervertebral disc degeneration, and that IL-1beta-induced expression of ADAMTS-5 is mediated by NO. PMID: 21437951
顯示更多
收起更多
-
亞細胞定位:Secreted, extracellular space, extracellular matrix.
-
組織特異性:Expressed at low level in placenta primarily but also detected in heart and brain, cervix, uterus, bladder, esophagus, rib cartilage, chondroblastoma, fibrous tissue and a joint capsule from an arthritic patient.
-
數據庫鏈接:
Most popular with customers
-
YWHAB Recombinant Monoclonal Antibody
Applications: ELISA, WB, IHC, IF, FC
Species Reactivity: Human, Mouse, Rat
-
Phospho-YAP1 (S127) Recombinant Monoclonal Antibody
Applications: ELISA, WB, IHC
Species Reactivity: Human
-
-
-
-
-
-













