-
中文名稱:CD109兔多克隆抗體
-
貨號:CSB-PA936160
-
規格:¥1100
-
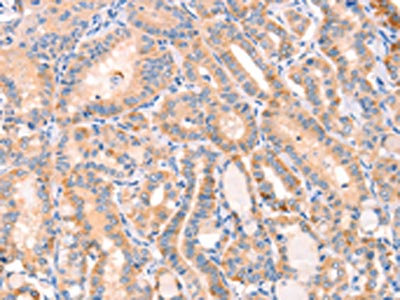
圖片:
-
The image on the left is immunohistochemistry of paraffin-embedded Human liver cancer tissue using CSB-PA936160(CD109 Antibody) at dilution 1/30, on the right is treated with synthetic peptide. (Original magnification: ×200)
-
The image on the left is immunohistochemistry of paraffin-embedded Human thyroid cancer tissue using CSB-PA936160(CD109 Antibody) at dilution 1/30, on the right is treated with synthetic peptide. (Original magnification: ×200)
-
-
其他:
產品詳情
-
Uniprot No.:
-
基因名:CD109
-
別名:150 KDa TGF beta 1 binding protein antibody; 150 KDa TGF-beta-1-binding protein antibody; 7D1 antibody; 8A3 antibody; Activated T cell marker CD109 antibody; C3 and PZP-like alpha-2-macroglobulin domain-containing protein 7 antibody; CD 109 antibody; CD109 antibody; CD109 antigen antibody; CD109_HUMAN antibody; CPAMD7 antibody; DKFZp762L1111 antibody; E123 antibody; FLJ38569 antibody; FLJ41966 antibody; Gov system alloantigens on platelets antibody; p180 antibody; Platelet specific Gov antigen antibody; Platelet-specific Gov antigen antibody; r150 antibody; RP11 525G3.1 antibody
-
宿主:Rabbit
-
反應種屬:Human
-
免疫原:Synthetic peptide of Human CD109
-
免疫原種屬:Homo sapiens (Human)
-
標記方式:Non-conjugated
-
抗體亞型:IgG
-
純化方式:Antigen affinity purification
-
濃度:It differs from different batches. Please contact us to confirm it.
-
保存緩沖液:-20°C, pH7.4 PBS, 0.05% NaN3, 40% Glycerol
-
產品提供形式:Liquid
-
應用范圍:ELISA,IHC
-
推薦稀釋比:
Application Recommended Dilution ELISA 1:2000-1:5000 IHC 1:25-1:100 -
Protocols:
-
儲存條件:Upon receipt, store at -20°C or -80°C. Avoid repeated freeze.
-
貨期:Basically, we can dispatch the products out in 1-3 working days after receiving your orders. Delivery time maybe differs from different purchasing way or location, please kindly consult your local distributors for specific delivery time.
-
用途:For Research Use Only. Not for use in diagnostic or therapeutic procedures.
相關產品
靶點詳情
-
功能:Modulates negatively TGFB1 signaling in keratinocytes.
-
基因功能參考文獻:
- GRP78 binds to and acts in concert with a glycosylphosphatidylinositol-anchored protein, CD109, in blocking TGF-beta signaling by promoting the routing of the TGF-beta receptor to the caveolae, thereby disrupting its binding to and activation of Smad2. PMID: 29654145
- CD109 knockdown upregulated IL-8 expression through activation of TGF-beta/Akt/NF-kappaB pathway in human umbilical vein endothelial cells PMID: 27121053
- High expression of CD109 in brain tumor stem cells is involved in glioma progression. PMID: 28888050
- The CD109 protein was up-regulated in hepatocellular carcinoma tissue compared with adjacent noncancerous tissue. CD109 shRNA knockdown delayed the G1-S phase transition, abrogated cell proliferation, and increased cell apoptosis. Furthermore, CD109 impaired TGF-beta/Smad signaling through control of p-smad2. PMID: 27074923
- CD109 is a putative biomarker for identifying a high-risk group among DLBCL patients. PMID: 28032275
- Expression levels of CD109 was reduced significantly in psoriasis. Lower expression of CD109 and TGF-beta RI was highly correlated with higher expression of Smad7 and Ki67, suggesting that CD109 may induce the pathogenesis of psoriasis through Smad7-mediated degradation of TGF-beta RI. PMID: 26838754
- sCD109 can bind TGF-beta, inhibit TGF-beta binding to its receptors and decrease TGF-beta signalling and TGF-beta-induced cellular responses. PMID: 26621871
- These findings indicate that CD109 is an exosomal protein and that the C-terminal region of CD109 is required for its presence in the exosome. PMID: 26707640
- CD109 may be a potential pathology marker for gallbladder squamous cell/adenosquamous carcinomas. PMID: 26249215
- CD109 is specifically expressed in endothelial cells of cutaneous cavernous haemangioma. PMID: 25388101
- expression increased in cutaneous squamous cell carcinoma PMID: 25271095
- The results suggest that circulating endothelial cells express CD109 and represent a rare population of circulating tumor endothelial cells, that play a potentially useful prognostic role in patients with glioblastoma. PMID: 25506915
- CD109 overexpression was significantly associated with surgical stage, distant metastasis, and poor prognosis in myxofibrosarcoma. PMID: 26031650
- Three glioblastoma cell lines, SK-MG-1, U251MG and MG178, were tested and CD109 overexpression attenuated TGF-beta1 signaling and enhanced EGF signaling in SK-MG-1, but not in U251MG or MG178. PMID: 25724945
- CD109 is highly expressed in TNBC and is a potential biomarker for the initiation, progression, and differentiation of breast cancer tumors. PMID: 25149155
- CD109 plays a critical role in non-small-cell lung cancer (NSCLC) progression, and is overexpressed in advanced NSCLC PMID: 24667143
- High expression of CD109 antigen regulates the phenotype of cancer stem-like cells/cancer-initiating cells in a novel epithelioid sarcoma cell line ESX and is related to poor prognosis of soft tissue sarcoma. PMID: 24376795
- Hematopoietic cell marker CD109 is expressed in hepatic progenitor cells. PMID: 24396288
- expression of CD109 (human platelet antigen 15) mRNA is different in various human cell types PMID: 23509816
- The upregulation of CD109 protein in SSc may represent an adaptation or consequence of aberrant TGF-beta signaling in systemic sclerosis PMID: 22694813
- CD109 is an important regulator of SMAD7/Smurf2-mediated degradation of TGFBR1. PMID: 21898545
- CD109 release from the cell surface in human keratinocytes regulates TGF-beta receptor expression, TGF-beta signalling and STAT3 activation. PMID: 21539622
- CD109 regulates TGF-beta receptor endocytosis and degradation to inhibit TGF-beta signaling. PMID: 21295082
- Report PRSS3/mesotrypsin upregulation in breast cancer cells and identify CD109 as the functional proteolytic target of mesotrypsin. PMID: 20035377
- These findings suggest that CD109 is involved in bladder tumorigenesis and is a potential target for cancer immunotherapy. PMID: 20946523
- Processing of CD109 into 180 kDa and 25 kDa proteins by furin, followed by complex formation with the type I TGF-beta receptor is required for the regulation of TGF-beta signaling in cancer cells and keratinocytes. PMID: 20101215
- Cell surface antigen CD109 is a novel member of the alpha(2) macroglobulin/C3, C4, C5 family of thioester-containing proteins. cDNA sequence determination and protein structure analysis given. PMID: 11861284
- A tyrosine703serine polymorphism of CD109 defines the Gov platelet alloantigens. PMID: 11861285
- Findings suggest that CD109 may become a molecular target for the development of new therapeutics for squamous cell carcinoma of various tissue origins. PMID: 15826242
- CD109 plays a unique role in the regulation of isoform-specific TGF-beta signaling in keratinocytes. PMID: 16754747
- Findings indicate that CD109 is a useful marker for the diagnosis of invasive breast and prostate carcinomas. PMID: 17493171
- the novel gene HEPT3 may function through its noncoding RNA and its overexpression may play a role in hepatocarcinogenesis [HEPT3] PMID: 17611685
- CD109 expression may play a role in the development of lung squamous cell carcinoma. PMID: 17922683
- Up-regulation of CD109 expression is associated with carcinogensis of the squamous epithelium of the oral cavity. PMID: 19016750
- Found with a mutation in 7% of colon cancers studied. PMID: 16959974
顯示更多
收起更多
-
亞細胞定位:Cell membrane; Lipid-anchor, GPI-anchor.
-
蛋白家族:Protease inhibitor I39 (alpha-2-macroglobulin) family
-
組織特異性:Widely expressed with high level in uterus, aorta, heart, lung, trachea, placenta and in fetal heart, kidney, liver, spleen and lung. Expressed by CD34(+) acute myeloid leukemia cell lines, T-cell lines, activated T-lymphoblasts, endothelial cells and act
-
數據庫鏈接:
Most popular with customers
-
-
YWHAB Recombinant Monoclonal Antibody
Applications: ELISA, WB, IHC, IF, FC
Species Reactivity: Human, Mouse, Rat
-
Phospho-YAP1 (S127) Recombinant Monoclonal Antibody
Applications: ELISA, WB, IHC
Species Reactivity: Human
-
-
-
-
-













