-
中文名稱:CKMT1A兔多克隆抗體
-
貨號:CSB-PA247166
-
規格:¥1100
-
圖片:
-
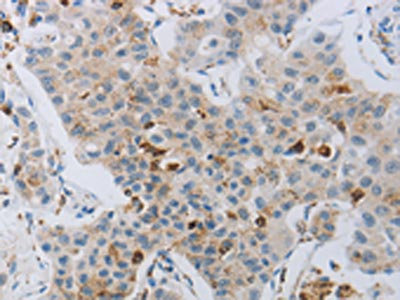
The image on the left is immunohistochemistry of paraffin-embedded Human breast cancer tissue using CSB-PA247166(CKMT1A/CKMT1B Antibody) at dilution 1/100, on the right is treated with synthetic peptide. (Original magnification: ×200)
-
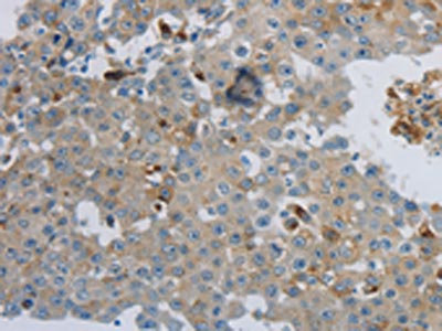
The image on the left is immunohistochemistry of paraffin-embedded Human lung cancer tissue using CSB-PA247166(CKMT1A/CKMT1B Antibody) at dilution 1/100, on the right is treated with synthetic peptide. (Original magnification: ×200)
-
-
其他:
產品詳情
-
Uniprot No.:
-
基因名:CKMT1A
-
別名:Acidic-type mitochondrial creatine kinase antibody; CKMT antibody; CKMT1 antibody; CKMT1B antibody; Creatine kinase mitochondrial 1 (ubiquitous) antibody; Creatine kinase mitochondrial 1B antibody; Creatine kinase U type mitochondrial antibody; Creatine kinase U-type antibody; KCRU_HUMAN antibody; Mia-CK antibody; mitochondrial antibody; U-MtCK antibody; Ubiquitous mitochondrial creatine kinase antibody; UMTCK antibody
-
宿主:Rabbit
-
反應種屬:Human
-
免疫原:Synthetic peptide of Human CKMT1A/CKMT1B
-
免疫原種屬:Homo sapiens (Human)
-
標記方式:Non-conjugated
-
抗體亞型:IgG
-
純化方式:Antigen affinity purification
-
濃度:It differs from different batches. Please contact us to confirm it.
-
保存緩沖液:-20°C, pH7.4 PBS, 0.05% NaN3, 40% Glycerol
-
產品提供形式:Liquid
-
應用范圍:ELISA,IHC
-
推薦稀釋比:
Application Recommended Dilution ELISA 1:1000-1:5000 IHC 1:50-1:200 -
Protocols:
-
儲存條件:Upon receipt, store at -20°C or -80°C. Avoid repeated freeze.
-
貨期:Basically, we can dispatch the products out in 1-3 working days after receiving your orders. Delivery time maybe differs from different purchasing way or location, please kindly consult your local distributors for specific delivery time.
-
用途:For Research Use Only. Not for use in diagnostic or therapeutic procedures.
相關產品
靶點詳情
-
功能:Reversibly catalyzes the transfer of phosphate between ATP and various phosphogens (e.g. creatine phosphate). Creatine kinase isoenzymes play a central role in energy transduction in tissues with large, fluctuating energy demands, such as skeletal muscle, heart, brain and spermatozoa.
-
基因功能參考文獻:
- The highly conserved residue E227 acts as the catalytic base to accept the guanidinium proton transferred from creatine in UMTCK. PMID: 27909311
- Mitochondrial creatine kinase CKMT1 is necessary for survival of EVI1-expressing cells in subjects with EVI1-positive AML. PMID: 28191887
- LRRK2 can interact directly with uMtCK to block its entry into mitochondria and its subsequent processing. PMID: 21370995
- CKMT1 is a key regulator of the permeability transition pore through a complex that is distinct from the classical permeability transition pore. PMID: 24522192
- mitochondrial creatine kinase expression in hepatocellular carcinoma may be caused by hepatocarcinogenesis per se but not by loss of mitochondrial integrity, of which ASB9 could be a negative regulator PMID: 24174293
- The results indicated that uMtCK expression is associated with a poor prognosis in breast cancer and might serve as a tumor marker. PMID: 22982673
- Significantly greater creatine kinase carbonylation is associated with chronic obstructive pulmonary disease PMID: 16166745
- Because creatine kinase temporally buffers ATP, these observations support the hypothesis that a deficit in myofibrillar energy delivery contributes to chronic heart failure pathophysiology in human left ventricular hypertrophy. PMID: 16952984
顯示更多
收起更多
-
亞細胞定位:Mitochondrion inner membrane; Peripheral membrane protein; Intermembrane side.
-
蛋白家族:ATP:guanido phosphotransferase family
-
數據庫鏈接:
Most popular with customers
-
-
YWHAB Recombinant Monoclonal Antibody
Applications: ELISA, WB, IHC, IF, FC
Species Reactivity: Human, Mouse, Rat
-
Phospho-YAP1 (S127) Recombinant Monoclonal Antibody
Applications: ELISA, WB, IHC
Species Reactivity: Human
-
-
-
-
-













