-
中文名稱:COPS7A兔多克隆抗體
-
貨號:CSB-PA880068ESR1HU
-
規格:¥440
-
圖片:
-
Western blot
All lanes: COP9 signalosome complex subunit 7a antibody at 4μg/ml
Lane 1: Rat heart tissue
Lane 2: Rat brain tissue
Secondary
Goat polyclonal to rabbit IgG at 1/10000 dilution
Predicted band size: 30 kDa
Observed band size: 30 kDa -
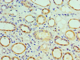
Immunohistochemistry of paraffin-embedded human kidney tissue using CSB-PA880068ESR1HU at dilution of 1:100
-
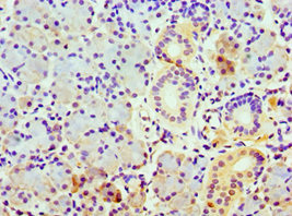
Immunohistochemistry of paraffin-embedded human pancreatic tissue using CSB-PA880068ESR1HU at dilution of 1:100
-
-
其他:
產品詳情
-
產品名稱:Rabbit anti-Homo sapiens (Human) COPS7A Polyclonal antibody
-
Uniprot No.:
-
基因名:COPS7A
-
別名:COP9 complex subunit 7a antibody; COP9 constitutive photomorphogenic homolog subunit 7A antibody; COP9 signalosome complex subunit 7a antibody; COP9 signalosome subunit 7A antibody; COPS7A antibody; CSN7A antibody; CSN7A_HUMAN antibody; Dermal papilla derived protein 10 antibody; Dermal papilla-derived protein 10 antibody; DERP10 antibody; JAB1 containing signalosome subunit 7a antibody; JAB1-containing signalosome subunit 7a antibody; SGN7a antibody; Signalosome subunit 7a antibody
-
宿主:Rabbit
-
反應種屬:Human, Rat
-
免疫原:Recombinant Human COP9 signalosome complex subunit 7a protein (1-275AA)
-
免疫原種屬:Homo sapiens (Human)
-
標記方式:Non-conjugated
-
克隆類型:Polyclonal
-
抗體亞型:IgG
-
純化方式:Antigen Affinity Purified
-
濃度:It differs from different batches. Please contact us to confirm it.
-
保存緩沖液:PBS with 0.02% sodium azide, 50% glycerol, pH7.3.
-
產品提供形式:Liquid
-
應用范圍:ELISA, WB, IHC
-
推薦稀釋比:
Application Recommended Dilution WB 1:500-1:2000 IHC 1:20-1:200 -
Protocols:
-
儲存條件:Upon receipt, store at -20°C or -80°C. Avoid repeated freeze.
-
貨期:Basically, we can dispatch the products out in 1-3 working days after receiving your orders. Delivery time maybe differs from different purchasing way or location, please kindly consult your local distributors for specific delivery time.
-
用途:For Research Use Only. Not for use in diagnostic or therapeutic procedures.
相關產品
靶點詳情
-
功能:Component of the COP9 signalosome complex (CSN), a complex involved in various cellular and developmental processes. The CSN complex is an essential regulator of the ubiquitin (Ubl) conjugation pathway by mediating the deneddylation of the cullin subunits of SCF-type E3 ligase complexes, leading to decrease the Ubl ligase activity of SCF-type complexes such as SCF, CSA or DDB2. The complex is also involved in phosphorylation of p53/TP53, JUN, I-kappa-B-alpha/NFKBIA, ITPK1 and IRF8/ICSBP, possibly via its association with CK2 and PKD kinases. CSN-dependent phosphorylation of TP53 and JUN promotes and protects degradation by the Ubl system, respectively.
-
亞細胞定位:Cytoplasm. Nucleus.
-
蛋白家族:CSN7/EIF3M family, CSN7 subfamily
-
組織特異性:Widely expressed. Expressed at high level in brain, heart and skeletal muscle.
-
數據庫鏈接:
Most popular with customers
-
-
YWHAB Recombinant Monoclonal Antibody
Applications: ELISA, WB, IHC, IF, FC
Species Reactivity: Human, Mouse, Rat
-
-
-
-
-
-













