-
中文名稱:TIMP2兔多克隆抗體
-
貨號:CSB-PA411062
-
規格:¥1100
-
圖片:
-
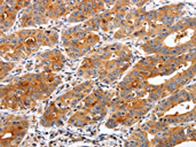
The image on the left is immunohistochemistry of paraffin-embedded Human liver cancer tissue using CSB-PA411062(TIMP2 Antibody) at dilution 1/20, on the right is treated with fusion protein. (Original magnification: ×200)
-
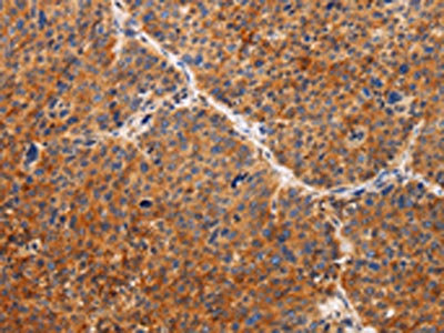
The image on the left is immunohistochemistry of paraffin-embedded Human gastric cancer tissue using CSB-PA411062(TIMP2 Antibody) at dilution 1/20, on the right is treated with fusion protein. (Original magnification: ×200)
-
-
其他:
產品詳情
-
Uniprot No.:
-
基因名:TIMP2
-
別名:CSC 21K antibody; CSC-21K antibody; CSC21K antibody; Metalloproteinase inhibitor 2 antibody; Metalloproteinase inhibitor 2 precursor antibody; TIMP 2 antibody; TIMP metallopeptidase inhibitor 2 antibody; TIMP-2 antibody; TIMP2 antibody; TIMP2_HUMAN antibody; Tissue Inhibitor of Metalloproteinase 2 antibody; Tissue inhibitor of metalloproteinases 2 antibody
-
宿主:Rabbit
-
反應種屬:Human,Mouse,Rat
-
免疫原:Fusion protein of Human TIMP2
-
免疫原種屬:Homo sapiens (Human)
-
標記方式:Non-conjugated
-
抗體亞型:IgG
-
純化方式:Antigen affinity purification
-
濃度:It differs from different batches. Please contact us to confirm it.
-
保存緩沖液:-20°C, pH7.4 PBS, 0.05% NaN3, 40% Glycerol
-
產品提供形式:Liquid
-
應用范圍:ELISA,IHC
-
推薦稀釋比:
Application Recommended Dilution ELISA 1:2000-1:5000 IHC 1:25-1:100 -
Protocols:
-
儲存條件:Upon receipt, store at -20°C or -80°C. Avoid repeated freeze.
-
貨期:Basically, we can dispatch the products out in 1-3 working days after receiving your orders. Delivery time maybe differs from different purchasing way or location, please kindly consult your local distributors for specific delivery time.
-
用途:For Research Use Only. Not for use in diagnostic or therapeutic procedures.
相關產品
靶點詳情
-
功能:Complexes with metalloproteinases (such as collagenases) and irreversibly inactivates them by binding to their catalytic zinc cofactor. Known to act on MMP-1, MMP-2, MMP-3, MMP-7, MMP-8, MMP-9, MMP-10, MMP-13, MMP-14, MMP-15, MMP-16 and MMP-19.
-
基因功能參考文獻:
- TIMP-2 may be considered as a potential non-invasive marker for the diagnosis of liver fibrosis in patients with NAFLD. PMID: 30284418
- UV-induced expression of DNMT1 may be responsible for mediating DNA hypermethylation in TIMP2, and thus, silencing its expression, in UV-exposed human skin. PMID: 29685765
- Overexpression of TIMP2 inhibited cell viability, migration and EMT process. PMID: 29432996
- TIMP2 was confirmed to be a direct downstream target of miR616. Inhibition of TIMP2 expression was required for the promoting effects of miR616 on the metastasis and EMT of ovarian cancer cells. PMID: 29658596
- TIMP2 promotes tumor progression and miR2055p directly regulates TIMP2, thereby suppressing proMMP2 activation and inhibiting oral squamous cell carcinoma cell invasiveness. PMID: 29393341
- Urine levels of TIMP2 (and IGFBP7) are predictive of acute kidney injury following cardiac surgical procedures. PMID: 28803769
- MMP-9 and TIMP-2 genes are upregulated in cancerous tissues when compared to normal bladder tissues. PMID: 28980922
- Overexpression of MMP2 and MMP16 in endometrial cancerous tissues corresponded to down-regulation of miR-377, miR-382 and miR-410, while decreased expression of TIMP2 was associated with miR-200b up-regulation. PMID: 28871006
- MiR-106a was inversely correlated with TIMP2. PMID: 28731196
- In squamous cell carcinoma of the cervix (SCCC), higher levels of MMP-14 expression were established in tumor cells, as evidenced by IHC (+3) and RT-PCR.Furin activity in the tumor was much higher than that in normal tissues. The expression of TIMP-2 mRNA was sufficiently obvious in both the tumor and normal tissues to the bottom of the uterine cavity. PMID: 29265076
- methylation differences within the TIMP2 gene promoter are not related to patellar tendinopathy PMID: 28888475
- This study provides evidence that TIMP-2 is a knee OA susceptibility gene in the Chinese population and a potential diagnostic and preventive marker for the disease. PMID: 27901480
- Tissue inhibitor of metallopeptidases 2 (TIMP2) protein and mRNA levels were downregulated after miR-15b overexpression in A549 and LTEP-a-2 cells, respectively. Our results indicate that high expression of miR-15b is associated with non-small cell lung cancer (NSCLC)and suggest that miR-15b expression may be a novel biomarker for predicting clinical outcomes in NSCLC patients PMID: 28498424
- study results suggest an association between matrix metalloproteinase 2, matrix metalloproteinase 9 and tissue inhibitor of metalloproteinase 2 single nucleotide polymorphisms with sperm parameters, but not infertility PMID: 27401679
- Long noncoding RNA DANCR promotes prostate cancer invasion and metastasis through repressing the expression of TIMP2/3 PMID: 27191265
- MMP2-1306C/T and TIMP2-418 G/C gene variants as risk factors for patients with relapsing remitting multiple sclerosis, was studied. PMID: 27174941
- biomarker for acute kidney injury PMID: 27174659
- epithelial cells and leukocytes from the urinary sediment. CONCLUSION: The gene expression pattern of IGFBP7 and TIMP-2 from urinary sediment, which contains desquamated renal tubular epithelial cells, did not correlate with [IGFBP7]x[TIMP-2] protein, indicating that IGFBP7 and TIMP-2 measured in the NephroCheck(R) test originated predominantly from intact but stressed cells of the kidney itself PMID: 29145491
- This study demonstrated that TIMP2 higher expression in glioblastoma PMID: 27633774
- Data show that tissue inhibitor of metalloproteinase 2 (TIMP2) is a direct target of miR-492 that modulates cervical cancer cell invasion. PMID: 28802022
- A higher risk of incidence or recurrent depressive disorder(OR=9.376) was confirmed in the case of a set of T/T-G/C genotypes of the MMP-9T-1702A and TIMP-2G-418C polymorphisms PMID: 27434116
- High TIMP2 expression is associated with acute kidney injury. PMID: 27342580
- expression of TIMP2 was inversely associated with miR-106a in nodule tissues. Apoptotic body was also seen under electron microscope accompanied by silencing of miR-106a. Together, this data indicated that miR-106a may act as an oncogene and contribute to gastric cancer development. PMID: 27142596
- Urine [TIMP-2]*[IGFBP7] is a promising candidate for early detection of AKI, especially in ruling-out AKI PMID: 28107490
- We conclude that in the resected esophageal cancer an increased mRNA expression of MMP-7, MMP-10 and TIMP-1 correlated with clinicopathologic features. We suggest that these genes may play a role during progression of the disease. MMP-10, MMP-7, TIMP-1, TIMP-2 were overexpressed in 73%, 85%, 55% and 42% of esophageal cancer samples, respectively. PMID: 28510611
- At hospital admission, all viral gastroenteritis (GE) patients viral gastroenteritis (GE) patients demonstrated increased MMP-9 and decreased MMP-2 and TIMP-2 serum levels; kinetics of serum MMP-2, MMP-9, and TIMP-2 levels were similar among the viral GE patients but distinct from bacterial enteritis patients; involvement of MMPs and TIMPs in the pathophysiology of gastrointestinal symptoms likely varies depending on the PMID: 26765397
- Meta-analysis indicated that urinary [TIMP-2].[IGFBP7] may be a reliable biomarker for the early detection of acute kidney injury in adults. PMID: 28682920
- Results show that resistant hypertension was associated with higher TIMP-2 levels and low MMP-2/TIMP-2 ratio, suggesting that these regulators of ECM remodeling play a key role in blood pressure control in this high-risk subset of hypertensive individuals. PMID: 27412873
- important regulator of extracellular matrix degradation and hepatocellular carcinoma metastasis PMID: 27018975
- TIMP-2 is both expressed and secreted preferentially by cells of distal tubule origin, while IGFBP7 is equally expressed across tubule cell types yet preferentially secreted by cells of proximal tubule origin. In human kidney tissue, strong staining of IGFBP7 was seen in the luminal brush-border region of a subset of proximal tubule cells, and TIMP-2 stained intracellularly in distal tubules. PMID: 28003188
- Myopia development in mammals is associated with reduced expression of TIMP-2, which contributes to increased degradative activity in the sclera. PMID: 28384717
- our results revealed miR-483-5p directly targeted to the cartilage matrix protein matrilin 3 (Matn3) and tissue inhibitor of metalloproteinase 2 (Timp2) to stimulate chondrocyte hypertrophy, extracellular matrix degradation, and cartilage angiogenesis, and it consequently initiated and accelerated the development of OA. PMID: 28139355
- Stromal TIMP-2 expression reflected its role in regulating tumor progression in ameloblastoma and in regulating developmental processes in tooth germs by their inhibitory effect on MMP-9 PMID: 26067137
- No significant differences were found between MMP-7 A-181G, C-115T, and TIMP-2 G-418C polymorphism and coronary artery disease and myocardial infarction in a Turkish population. PMID: 28137415
- High TIMP2 expression is associated with chronic myelogenous leukemia. PMID: 28035415
- MMP-2 and TIMP-2 were secreted by both tumor cells and stromal cells. PMID: 27853937
- that miR-22 acts to regulate invasion of 1321N1 astrocytoma cells by targeting TIMP2 expression PMID: 27834627
- Results show decreased expression of MMP-2, MMP-9 and TIMP-2 genes on both mRNA and protein levels in depression; there elevated expression positively affects cognitive efficiency. PMID: 26856768
- TIMP- 2 expression decreased in cervical disc herniation patients. PMID: 27173256
- Changes in MMPs and TIMP expression may be a common element in, or perhaps even a marker for, recurrent depressive disorders and somatic diseases. PMID: 27098106
- quantitative urine test is available to assess the risk of developing AKI by measuring the concentrations of two protein biomarkers, TIMP-2 and IGFBP-7 PMID: 26797672
- miR-22 significantly upregulated the invasion capacity of 1321N1 cells. In silico analysis predicted that TIMP2 is a target gene of miR-22 which was confirmed by qPCR and Western blotting. Luciferase reporter assays demonstrated that miR-22 directly bound the 3'-untranslated regions of TIMP2. These data suggest that miR-22 acts to regulate invasion of 1321N1 astrocytoma cells by targeting TIMP2 expression. PMID: 27834627
- Pathogenesis and progression of nasal polyps is closely related with elevated MMP-9 and suppressed TIMP-2 expression PMID: 26823777
- our results demonstrate that TIMP-2 stimulates lung adenocarcinoma cell proliferation PMID: 26556867
- new evidence that promoter polymorphisms in TIMP2 are functional and may affect gene transcription with possible effects on craniofacial development leading to NSCL/P. PMID: 24799419
- This study shows that urinary [TIMP-2]*[IGFBP7] has a good diagnostic performance in predicting adverse outcomes in neonatal and pediatric AKI of heterogeneous etiology. PMID: 26606754
- showed a significant association between the variants of MMP-2 and TIMP-2 promoters and spontaneous intracerebral hemorrhage PMID: 26551785
- TIMP2 is elevated in patients with non-alcoholic fatty liver disease. PMID: 26329758
- TIMP-2 interaction with MT1-MMP provides tumor cells with either pro- or anti-apoptotic signaling depending on the extracellular environment and apoptotic stimulus. PMID: 26331622
- MiR-761 directly targeted ING4 and TIMP2. PMID: 26278569
顯示更多
收起更多
-
亞細胞定位:Secreted.
-
蛋白家族:Protease inhibitor I35 (TIMP) family
-
數據庫鏈接:
Most popular with customers
-
-
Phospho-YAP1 (S127) Recombinant Monoclonal Antibody
Applications: ELISA, WB, IHC
Species Reactivity: Human
-
-
-
-
-
-













