-
中文名稱:NR5A2兔多克隆抗體
-
貨號:CSB-PA016066LA01HU
-
規格:¥440
-
圖片:
-
Western Blot
Positive WB detected in: Hela whole cell lysate, PC-3 whole cell lysate, HepG2 whole cell lysate, Mouse kidney tissue, Mouse brain tissue
All lanes: NR5A2 antibody at 3μg/ml
Secondary
Goat polyclonal to rabbit IgG at 1/50000 dilution
Predicted band size: 62, 57, 43, 54 kDa
Observed band size: 62, 54 kDa -
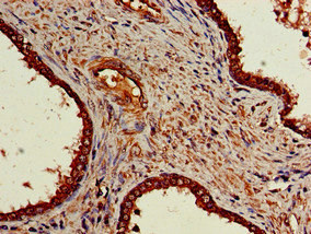
Immunohistochemistry of paraffin-embedded human prostate cancer using CSB-PA016066LA01HU at dilution of 1:100
-
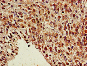
Immunohistochemistry of paraffin-embedded human glioma using CSB-PA016066LA01HU at dilution of 1:100
-
-
其他:
產品詳情
-
產品名稱:Rabbit anti-Homo sapiens (Human) NR5A2 Polyclonal antibody
-
Uniprot No.:
-
基因名:NR5A2
-
別名:Alpha-1-fetoprotein transcription factor antibody; B1-binding factor antibody; B1F antibody; B1F2 antibody; CPF antibody; CYP7A promoter-binding factor antibody; FTF antibody; FTZ F1 antibody; FTZ F1beta antibody; FTZ-F1 antibody; FTZ-F1beta antibody; hB1F 2 antibody; hB1F antibody; hB1F-2 antibody; Hepatocytic transcription factor antibody; Liver receptor homolog 1 antibody; LRH-1 antibody; LRH1 antibody; Nr5a2 antibody; NR5A2_HUMAN antibody; Nuclear receptor subfamily 5 group A member 2 antibody
-
宿主:Rabbit
-
反應種屬:Human, Mouse
-
免疫原:Recombinant Human Nuclear receptor subfamily 5 group A member 2 protein (182-291AA)
-
免疫原種屬:Homo sapiens (Human)
-
標記方式:Non-conjugated
本頁面中的產品,NR5A2 Antibody (CSB-PA016066LA01HU),的標記方式是Non-conjugated。對于NR5A2 Antibody,我們還提供其他標記。見下表:
-
克隆類型:Polyclonal
-
抗體亞型:IgG
-
純化方式:>95%, Protein G purified
-
濃度:It differs from different batches. Please contact us to confirm it.
-
保存緩沖液:Preservative: 0.03% Proclin 300
Constituents: 50% Glycerol, 0.01M PBS, pH 7.4 -
產品提供形式:Liquid
-
應用范圍:ELISA, WB, IHC
-
推薦稀釋比:
Application Recommended Dilution WB 1:500-1:5000 IHC 1:20-1:200 -
Protocols:
-
儲存條件:Upon receipt, store at -20°C or -80°C. Avoid repeated freeze.
-
貨期:Basically, we can dispatch the products out in 1-3 working days after receiving your orders. Delivery time maybe differs from different purchasing way or location, please kindly consult your local distributors for specific delivery time.
-
用途:For Research Use Only. Not for use in diagnostic or therapeutic procedures.
相關產品
靶點詳情
-
功能:Nuclear receptor that acts as a key metabolic sensor by regulating the expression of genes involved in bile acid synthesis, cholesterol homeostasis and triglyceride synthesis. Together with the oxysterol receptors NR1H3/LXR-alpha and NR1H2/LXR-beta, acts as an essential transcriptional regulator of lipid metabolism. Plays an anti-inflammatory role during the hepatic acute phase response by acting as a corepressor: inhibits the hepatic acute phase response by preventing dissociation of the N-Cor corepressor complex. Binds to the sequence element 5'-AACGACCGACCTTGAG-3' of the enhancer II of hepatitis B virus genes, a critical cis-element of their expression and regulation. May be responsible for the liver-specific activity of enhancer II, probably in combination with other hepatocyte transcription factors. Key regulator of cholesterol 7-alpha-hydroxylase gene (CYP7A) expression in liver. May also contribute to the regulation of pancreas-specific genes and play important roles in embryonic development. Activates the transcription of CYP2C38.
-
基因功能參考文獻:
- Lrh-1 transcriptionally regulates Oat2. PMID: 29669824
- Rev-erbalpha regulates Cyp7a1 and cholesterol metabolism through its repression of the Lrh-1 receptor. PMID: 29237721
- transcriptional regulation by NR5A2 links differentiation and inflammation in the pancreas; findings support the notion that, in the pancreas, the transcriptional networks involved in differentiation-specific functions also suppress inflammatory programs; under conditions of genetic or environmental constraint, these networks can be subverted to foster inflammation PMID: 29443959
- our data indicated that miR-381 inhibited migration and invasion of non-small cell lung cancer (NSCLC)by targeting LRH-1, and may represent a novel potential therapeutic target and prognostic marker for NSCLC. PMID: 29048619
- NR5A2-mediated cancer cell survival is facilitated through augmentation of GATA6 and anti-apoptotic factor BCL-XL levels. PMID: 27586588
- the expression level of LRH-1 can be used as a marker in the early diagnosis of unexplained recurrent spontaneous abortion. PMID: 28531169
- Liver receptor homologue1 (LRH1) is a direct target of miR30d in colorectal carcinoma cells. PMID: 28440426
- Results show that LRH-1 is a direct target gene of miR-374b and that decreased miR-374b expression may contribute to the promotion of LRH-1-mediated tumorigenesis of colon cancer. PMID: 29128635
- NR5A2 may be important in the pathophysiology of preterm birth and exploring noncoding regulators of NR5A2 is warranted PMID: 26761123
- Our study suggests that miR-219-5p regulated the proliferation, migration, and invasion of human gastric cancer cells by suppressing LRH-1. PMID: 27983934
- Liver receptor homolog-1 was identified as a direct target gene of miR-136 PMID: 28710032
- miR-27b-3p levels were found to be significantly negatively correlated with both NR5A2 and CREB1 levels in breast cancer tissues. PMID: 27809310
- The fusion transcript NR5A2-KLHL29FT was identified in normal and cancerous colonic epithelia. It is due to an uncharacterized polymorphic germline insertion of the NR5A2 sequence from chromosome 1 into the KLHL29 locus at chromosome 2, rather than a chromosomal rearrangement. NR5A2-KLH29FT expression levels were significantly lower in colon cancers than in matched normal colonic epithelia. PMID: 28081303
- Additionally, the authors solved the structure of the human LRH-1 DNA-binding domain bound to a DR0 motif located within the Oct4 promoter. PMID: 27984042
- miR-376c inhibits non-small-cell lung cancer cell growth and invasion by targeting LRH-1 PMID: 27049310
- The first crystal structure of the LRH-1-PGC1alpha complex , which depicts hydrophobic contacts is identified and described. PMID: 28363985
- The dramatic repositioning is influenced by a differential ability to establish stable face-to-face pi-pi-stacking with the LRH-1 residue His-390, as well as by a novel polar interaction mediated by the RJW100 hydroxyl group. The differing binding modes result in distinct mechanisms of action for the two agonists. PMID: 27694446
- The role of NR5A2 in regulating pancreatic cancer stem cell properties and epithelial-mesenchymal transition of pancreatic carcinoma cells PMID: 27996162
- demonstrate aberrant expressions of SF-1 and LRH-1 in endometriotic granulosa-lutein cells PMID: 26530052
- Down-regulation of MicroRNA-381 promotes cell proliferation and invasion in colon cancer cells through up-regulation of LRH-1. PMID: 26320367
- The present study indicates that miR-381 may be a novel tumor suppressor that blocks HCC growth and invasion by targeting LRH-1. PMID: 26677080
- The SNPs rs3790843 and rs3790844 in the NR5A2 gene are associated with pancreatic cancer risk in Japanese subjects. PMID: 26592175
- SERBP1 is a component of the LRH-1 transcriptional complex. PMID: 26398198
- These findings demonstrate that in vitro LRH-1 can act like SF-1 and compensate for its deficiency. PMID: 25896302
- These findings show that POD-1/TCF21 regulates SF-1 and LRH-1 by distinct mechanisms, contributing to the understanding of POD-1 involvement and its mechanisms of action in adrenal and liver tumorigenesis. PMID: 26421305
- Studies indicate that liver receptor homolog-1 (LRH-1) is critical involvement in multiple types of cancer, and represents a desirable target for therapeutic applications. PMID: 25951367
- in spermatozoa the LRH-1 effects are closely integrated with the estrogen signaling, supporting LRH-1 as a downstream effector of the estradiol pathway on some sperm functions. PMID: 26241668
- LRH-1 drives colon cancer cell growth by repressing the expression of the CDKN1A gene in a p53-dependent manner. PMID: 26400164
- Data suggest LRH1/NR5A2 exhibits phospholipid-mediated allosteric control of protein-protein binding interface in interactions with TIF2 (co-activator; transcription intermediary factor 2) and SHP (co-repressor; small heterodimer partner protein). PMID: 26553876
- Results identify LRH-1 as a critical component of the anti-inflammatory and fungicidal response of alternatively activated macrophages that acts upstream from the IL-13-induced 15-HETE/PPARgamma axis. PMID: 25873311
- AFPR may play a pivotal role in HBV-related hepatocarcinogenesis. PMID: 25943101
- our findings present supportive evidence that ApoM is a regulator of human LRH-1 transcription, and further reveal the importance of ApoM as a critical regulator of bile acids metabolism PMID: 25987835
- these data demonstrate that copper-mediated nuclear receptor dysfunction disrupts liver function in WD and potentially in other disorders associated with increased hepatic copper levels. PMID: 26241054
- Analysis of breast cancer samples reveals that a high LRH-1 level is inversely correlated with CDKN1A expression in breast cancer patients and is associated with poor prognosis PMID: 25435372
- loss of LRH-1 by siRNA or miR-451 mimics significantly impaired Wnt/beta-catenin activity, leading to G0/G1 cell cycle arrest PMID: 25869073
- the NR5A2 rs3790844 polymorphism is associated with increased OS of GC patients in the dominant model, and similar results were found among the female group and tumor size >5 cm group for NR5A2 rs3790843 polymorphism. PMID: 25514243
- This study demonstrates a critical proproliferative role for LRH-1 in established colon cancer cell lines. PMID: 25675535
- during chronic colitis, TNF suppresses intestinal steroidogenic gene expression by inhibiting the activity of NR5A2, thus decreasing glucocorticoid synthesis and sustaining chronic inflammation. PMID: 24570488
- LRH1 overexpression is associated with increased pancreatic cancer growth and metastatic spread PMID: 24769073
- Data (including data from transgenic overexpression/gene silencing) suggest that NR5A2 modulates signal transduction/cell proliferation in mammary cells; mammary morphology exhibits significant reduction in lateral budding after NR5A2 overexpression. PMID: 24564400
- report the genome-wide location and molecular function of LRH-1 in breast cancer cells and reveal its therapeutic potential for the treatment of breast cancers, notably for tumors resistant to treatments currently used in therapies. PMID: 24520076
- Data conclude that SF-1 regulates aromatase expression in GCT; over-expression of LRH-1 suggests that this receptor may be involved in the pathogenesis of GCT by mechanisms other than the regulation of aromatase. PMID: 23537609
- Lrh-1 is necessary for maintenance of the corpus luteum, for promotion of decidualization and for formation of the placenta. PMID: 23817023
- Data indicate that sequence divergence has differentially impacted ligand binding and protein dynamics in NR5A2. PMID: 23737522
- Experimental evaluation of the predicted ligands identified two compounds that inhibit the transcriptional activity of LRH-1 and diminish the expression of the receptor's target genes. PMID: 23667258
- Expression of human LRH-1 is regulated in a tissue-specific manner, and that the novel promoter region is controlled by the Sp-family, NR5A-family and PGC-1alpha in ovarian granulosa cells in a coordinated fashion. PMID: 23471216
- this study indicates that LRH-1 acts as a transcriptional activator in the regulation of OCT4 gene expression through the cooperative interaction with three binding sites directly or/and indirectly. PMID: 23000165
- HNF4alpha and LRH-1 promote active transcription histone marks on the Cyp7a1 promoter that are reversed by FGF19 in a SHP-dependent manner PMID: 23038264
- The lipid-free receptor undergoes previously unrecognized structural fluctuations, allowing it to interact with widely expressed co-repressors. PMID: 22504882
- Data show that single nucleotide polymorphisms (SNPs) in ABO, sonic hedgehog (SHH), telomerase reverse transcriptase (TERT), nuclear receptor subfamily 5, group A, member 2 (NR5A2) were found to be associated with pancreatic cancer risk. PMID: 22125638
顯示更多
收起更多
-
亞細胞定位:Nucleus.
-
蛋白家族:Nuclear hormone receptor family, NR5 subfamily
-
組織特異性:Abundantly expressed in pancreas, less in liver, very low levels in heart and lung. Expressed in the Hep-G2 cell line. Isoform 1 and isoform 2 seem to be present in fetal and adult liver and Hep-G2 cells.
-
數據庫鏈接:
Most popular with customers
-
-
YWHAB Recombinant Monoclonal Antibody
Applications: ELISA, WB, IHC, IF, FC
Species Reactivity: Human, Mouse, Rat
-
Phospho-YAP1 (S127) Recombinant Monoclonal Antibody
Applications: ELISA, WB, IHC
Species Reactivity: Human
-
-
-
-
-
VDAC1 Recombinant Monoclonal Antibody
Applications: ELISA, WB, IHC
Species Reactivity: Human, Mouse, Rat













