-
中文名稱:QDPR兔多克隆抗體
-
貨號:CSB-PA019133LA01HU
-
規格:¥440
-
圖片:
-
Western Blot
Positive WB detected in: K562 whole cell lysate, Mouse liver tissue, Mouse kidney tissue, Mouse brain tissue
All lanes: QDPR antibody at 3µg/ml
Secondary
Goat polyclonal to rabbit IgG at 1/50000 dilution
Predicted band size: 26, 23 kDa
Observed band size: 26 kDa -
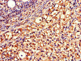
Immunohistochemistry of paraffin-embedded human ovarian cancer using CSB-PA019133LA01HU at dilution of 1:100
-
Immunofluorescent analysis of A549 cells using CSB-PA019133LA01HU at dilution of 1:100 and Alexa Fluor 488-congugated AffiniPure Goat Anti-Rabbit IgG(H+L)
-
-
其他:
產品詳情
-
產品名稱:Rabbit anti-Homo sapiens (Human) QDPR Polyclonal antibody
-
Uniprot No.:
-
基因名:QDPR
-
別名:6,7 dihydropteridine reductase antibody; DHPR antibody; DHPR_HUMAN antibody; Dihydropteridine reductase antibody; HDHPR antibody; HPR antibody; PKU2 antibody; Qdpr antibody; Quinoid dihydropteridine reductase antibody; SDR33C1 antibody; Short chain dehydrogenase/reductase family 33C, member 1 antibody
-
宿主:Rabbit
-
反應種屬:Human, Mouse
-
免疫原:Recombinant Human Dihydropteridine reductase protein (2-244AA)
-
免疫原種屬:Homo sapiens (Human)
-
標記方式:Non-conjugated
本頁面中的產品,QDPR Antibody (CSB-PA019133LA01HU),的標記方式是Non-conjugated。對于QDPR Antibody,我們還提供其他標記。見下表:
-
克隆類型:Polyclonal
-
抗體亞型:IgG
-
純化方式:>95%, Protein G purified
-
濃度:It differs from different batches. Please contact us to confirm it.
-
保存緩沖液:Preservative: 0.03% Proclin 300
Constituents: 50% Glycerol, 0.01M PBS, PH 7.4 -
產品提供形式:Liquid
-
應用范圍:ELISA, WB, IHC, IF
-
推薦稀釋比:
Application Recommended Dilution WB 1:500-1:5000 IHC 1:20-1:200 IF 1:50-1:200 -
Protocols:
-
儲存條件:Upon receipt, store at -20°C or -80°C. Avoid repeated freeze.
-
貨期:Basically, we can dispatch the products out in 1-3 working days after receiving your orders. Delivery time maybe differs from different purchasing way or location, please kindly consult your local distributors for specific delivery time.
-
用途:For Research Use Only. Not for use in diagnostic or therapeutic procedures.
相關產品
靶點詳情
-
功能:The product of this enzyme, tetrahydrobiopterin (BH-4), is an essential cofactor for phenylalanine, tyrosine, and tryptophan hydroxylases.
-
基因功能參考文獻:
- show for the first time statistically significant up regulation of iNOS in QDPR overexpressing astrocytes. Increased expression of iNOS associated with astrocyte pathology seen in many neurodegenerative disorders may have implications in autoimmune neurodegenerative disorders. PMID: 29355631
- Mutation of dihydropteridine reductase (QDPR) inhibited the regulation of TOR serine-threonine kinases (mTOR), suggesting that QDPR is a positive regulator of autophagy via suppressing mTOR signaling. PMID: 28633336
- The allele frequencies for the QDPR c.68G > A(0.3%) polymorphism is not a major cause of Parkinson's disease in the Maltese. PMID: 27613114
- The mutation spectrum of the QDPR gene is different in the Chinese population. Most mutations are related to severe phenotype. PMID: 25124972
- JP1 and JP2 can facilitate the assembly of DHPR with other proteins of the excitation-contraction coupling machinery PMID: 22020936
- the electrostatic regulatory interaction between the SPRY2 F loop residues (that bind to imperatoxin A) and the ASI/basic residues of RyR1 does not influence bi-directional DHPR-RyR1 signaling during skeletal EC coupling PMID: 21239886
- less than 30 microM H2O2 increase DHPR activities, whereas levels greater than 30 microM H2O2 deactivate the enzyme based on the oxidation of Met146 and Met151 in the sequence, consequently leading to disruption of the NADH-dependent enzyme active site. PMID: 15009710
- This protein has been found differentially expressed in the Wernicke's Area from patients with schizophrenia. PMID: 19405953
顯示更多
收起更多
-
相關疾?。?/div>Hyperphenylalaninemia, BH4-deficient, C (HPABH4C)蛋白家族:Short-chain dehydrogenases/reductases (SDR) family數據庫鏈接:
Most popular with customers
-
-
YWHAB Recombinant Monoclonal Antibody
Applications: ELISA, WB, IHC, IF, FC
Species Reactivity: Human, Mouse, Rat
-
Phospho-YAP1 (S127) Recombinant Monoclonal Antibody
Applications: ELISA, WB, IHC
Species Reactivity: Human
-
-
-
-
-













