-
中文名稱:RNF26兔多克隆抗體
-
貨號:CSB-PA019883LA01HU
-
規格:¥440
-
圖片:
-
Western blot
All lanes: RNF26 antibody at 6µg/ml + 293T whole cell lysate
Secondary
Goat polyclonal to rabbit IgG at 1/10000 dilution
Predicted band size: 48 kDa
Observed band size: 48 kDa -
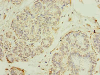
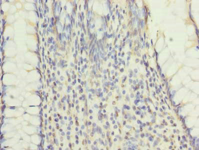
Immunohistochemistry of paraffin-embedded human colon cancer using CSB-PA019883LA01HU at dilution of 1:100
-
Immunohistochemistry of paraffin-embedded human breast cancer using CSB-PA019883LA01HU at dilution of 1:100
-
Immunofluorescent analysis of HepG2 cells using CSB-PA019883LA01HU at dilution of 1:100 and Alexa Fluor 488-congugated AffiniPure Goat Anti-Rabbit IgG(H+L)
-
-
其他:
產品詳情
-
產品名稱:Rabbit anti-Homo sapiens (Human) RNF26 Polyclonal antibody
-
Uniprot No.:
-
基因名:RNF26
-
別名:RNF26; E3 ubiquitin-protein ligase RNF26; RING finger protein 26
-
宿主:Rabbit
-
反應種屬:Human
-
免疫原:Recombinant Human E3 ubiquitin-protein ligase RNF26 protein (246-433AA)
-
免疫原種屬:Homo sapiens (Human)
-
標記方式:Non-conjugated
本頁面中的產品,RNF26 Antibody (CSB-PA019883LA01HU),的標記方式是Non-conjugated。對于RNF26 Antibody,我們還提供其他標記。見下表:
-
克隆類型:Polyclonal
-
抗體亞型:IgG
-
純化方式:>95%, Protein G purified
-
濃度:It differs from different batches. Please contact us to confirm it.
-
保存緩沖液:Preservative: 0.03% Proclin 300
Constituents: 50% Glycerol, 0.01M PBS, PH 7.4 -
產品提供形式:Liquid
-
應用范圍:ELISA, WB, IHC, IF
-
推薦稀釋比:
Application Recommended Dilution WB 1:500-1:2000 IHC 1:20-1:200 IF 1:50-1:200 -
Protocols:
-
儲存條件:Upon receipt, store at -20°C or -80°C. Avoid repeated freeze.
-
貨期:Basically, we can dispatch the products out in 1-3 working days after receiving your orders. Delivery time maybe differs from different purchasing way or location, please kindly consult your local distributors for specific delivery time.
-
用途:For Research Use Only. Not for use in diagnostic or therapeutic procedures.
引用文獻
- The pathogenic mutant vimentin L387P disrupts endoplasmic reticulum organization and proteostasis ES Lara, D Pérez-Sala, AE Martínez,bioRxiv,2025
相關產品
靶點詳情
-
功能:E3 ubiquitin-protein ligase that plays a key role in endosome organization by retaining vesicles in the perinuclear cloud. Acts as a platform for perinuclear positioning of the endosomal system by mediating ubiquitination of SQSTM1. Ubiquitinated SQSTM1 attracts specific vesicle-associated adapters, forming a molecular bridge that restrains cognate vesicles in the perinuclear region and organizes the endosomal pathway for efficient cargo transport. Also acts as a regulator of type I interferon production in response to viral infection by mediating the formation of 'Lys-11'-linked polyubiquitin chains on TMEM173/STING, leading to stabilize TMEM173/STING. Also required to limit type I interferon response by promoting autophagic degradation of IRF3.
-
基因功能參考文獻:
- Study reveals the endoplasmic reticulum (ER)-located ubiquitin ligase Ring finger protein 26 (RNF26) as the global architect of the entire endosomal system, including the trans-Golgi network. PMID: 27368102
-
亞細胞定位:Endoplasmic reticulum membrane; Multi-pass membrane protein.
-
組織特異性:Ubiquitous. Up-regulated in several cancer cell lines.
-
數據庫鏈接:
Most popular with customers
-
-
YWHAB Recombinant Monoclonal Antibody
Applications: ELISA, WB, IHC, IF, FC
Species Reactivity: Human, Mouse, Rat
-
Phospho-YAP1 (S127) Recombinant Monoclonal Antibody
Applications: ELISA, WB, IHC
Species Reactivity: Human
-
-
-
-
-













