-
中文名稱:SFRP1兔多克隆抗體
-
貨號:CSB-PA255809
-
規格:¥1100
-
圖片:
-
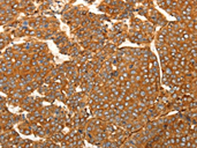
The image on the left is immunohistochemistry of paraffin-embedded Human liver cancer tissue using CSB-PA255809(SFRP1 Antibody) at dilution 1/80, on the right is treated with synthetic peptide. (Original magnification: ×200)
-
The image on the left is immunohistochemistry of paraffin-embedded Human lung cancer tissue using CSB-PA255809(SFRP1 Antibody) at dilution 1/80, on the right is treated with synthetic peptide. (Original magnification: ×200)
-
-
其他:
產品詳情
-
Uniprot No.:
-
基因名:
-
別名:Frizzled related protein 1 antibody; FRP 1 antibody; FRP antibody; FRP-1 antibody; FRP1 antibody; FrzA antibody; SARP 2 antibody; SARP-2 antibody; SARP2 antibody; Secreted apoptosis related protein 2 antibody; Secreted apoptosis-related protein 2 antibody; Secreted frizzled related protein 1 antibody; Secreted frizzled related protein antibody; Secreted frizzled-related protein 1 antibody; SFRP 1 antibody; sFRP-1 antibody; SFRP1 antibody; SFRP1_HUMAN antibody
-
宿主:Rabbit
-
反應種屬:Human,Mouse
-
免疫原:Synthetic peptide of Human SFRP1
-
免疫原種屬:Homo sapiens (Human)
-
標記方式:Non-conjugated
-
抗體亞型:IgG
-
純化方式:Antigen affinity purification
-
濃度:It differs from different batches. Please contact us to confirm it.
-
保存緩沖液:-20°C, pH7.4 PBS, 0.05% NaN3, 40% Glycerol
-
產品提供形式:Liquid
-
應用范圍:ELISA,IHC
-
推薦稀釋比:
Application Recommended Dilution ELISA 1:2000-1:10000 IHC 1:100-1:300 -
Protocols:
-
儲存條件:Upon receipt, store at -20°C or -80°C. Avoid repeated freeze.
-
貨期:Basically, we can dispatch the products out in 1-3 working days after receiving your orders. Delivery time maybe differs from different purchasing way or location, please kindly consult your local distributors for specific delivery time.
-
用途:For Research Use Only. Not for use in diagnostic or therapeutic procedures.
相關產品
靶點詳情
-
功能:Soluble frizzled-related proteins (sFRPS) function as modulators of Wnt signaling through direct interaction with Wnts. They have a role in regulating cell growth and differentiation in specific cell types. SFRP1 decreases intracellular beta-catenin levels. Has antiproliferative effects on vascular cells, in vitro and in vivo, and can induce, in vivo, an angiogenic response. In vascular cell cycle, delays the G1 phase and entry into the S phase. In kidney development, inhibits tubule formation and bud growth in metanephroi. Inhibits WNT1/WNT4-mediated TCF-dependent transcription.
-
基因功能參考文獻:
- active involvement in placental development and important role in pathology of pregnancy PMID: 28738713
- SFRP1 gene was epigenetically silenced in glioblastomas when compared to low astrocytoma grades, which may suggest that the lack of its protein is involved in astrocytoma progression. PMID: 30394013
- It has been found that miR-27a-3p modulated the Wnt/beta-catenin signaling pathway to promote epithelial-mesenchymal transition in oral squamous carcinoma stem cells by down-regulating SFRP1. PMID: 28425477
- sFRP1 overexpression in gastric cancer cells leads to increased cell proliferation and angiogenesis. PMID: 28169332
- Study determined that SFRP1 is downregulated during tumor formation probably by DNA methylation, and associates consistently with tumor suppressive functions. PMID: 28218291
- co-transfection of sFRP1 siRNA with miR- 191 inhibitor sequence, it was found that the Wnt/beta-catenin signaling pathway was reactivated and the colony formation ability of RBE cells was restored. PMID: 30235453
- WNT5b rs3803164, and SFRP1 rs3242 were significantly associated with lumbar spine BMD. PMID: 30055306
- lost SFRP1 expression-induced Wnt/beta-catenin signaling due to the hypermethylation of the SFRP1 promoter could associate with keloid development PMID: 29455276
- miR-1301-3p promoted the expansion of prostate cancer stem cells by inhibiting GSK3beta and SFRP1, and activating the Wnt pathway. PMID: 29358129
- Methylation level of the SFRP1 promoter region is increased in patients with RCC compared to normal controls and might be involved in the occurrence and development of RCC. PMID: 29731501
- preliminary data show loss of SFRP1 protein expression caused by the SFRP1 promoter hypermethylation in a subset of high-grade serous ovarian carcinomas PMID: 29146058
- Loss of SFRP1 likely contributes to tumor progression by altering the expression of a critical transcription factor in both the epithelium and the immune system. PMID: 28687085
- Authors found that downregulation of HP1alpha can decrease H3K9me3 enrichment and DNA methylation rate of secreted frizzled-related protein 1 (SFRP1) promoter, resulting in restoring the expression of SFRP1. PMID: 27385214
- KL and SFRP1 methylation were more predominant in nasopharyngeal tumors. PMID: 28812223
- Results indicate that SFRP1 rs7832767 C > T, CTNNB1 rs2293303 C > T, and WISP1 rs16893344 C > T were all strongly correlated with myocardial infarction (MI) susceptibility. PMID: 27391264
- miR-1254 promotes lung cancer cell proliferation by targeting the expression of SFRP1. PMID: 28605875
- The expression of Dicer negatively correlated with that of SFRP1 and it appeared to promote CCA cell proliferation. PMID: 28230864
- H2O2-induced SFRP1 gene demethylation contributes to H2O2-induced apoptosis in human U251 glioma cells. PMID: 28398872
- Data suggest that microRNA miR-27a may activate the Wnt/beta-catenin signaling pathway by negatively regulating SFRP1 to promote the proliferation, migration and invasion of breast cancer (BC) cells. PMID: 28099945
- Data indicate that microRNA miR-744 activated Wnt/beta-catenin pathway by targeting multiple negative regulators of Wnt/beta-catenin signaling, including SFRP1, GSK3beta, TLE3 and NKD1, and that NKD1 is a major functional target of miR-744. PMID: 28107193
- Our results indicate that DKK1 and SFRP1 may be potentially useful biomarkers for evaluating the beneficial effects of long-term exercise on physical fitness and metabolism as well as the prognosis of patients with cancer. PMID: 28178355
- MiR-1-3p suppresses the proliferation, invasion and migration of bladder cancer cells by up-regulating SFRP1 expression. PMID: 28268231
- SFRP1 mRNA expression was reduced by both resistant starch and polydextrose. Resistant starch and polydextrose did not affect SFRP1 methylation or alter the expression of 10 microRNAs predicted to target SFRP1. PMID: 28077379
- Taken together, our results suggest that canonical Wnt signaling and its antagonist, sFRP1, regulate proliferation of human CSCs. Furthermore, excess sFRP1 in elderly patients causes CSC aging. PMID: 28435069
- Genetic variants in the 3' untranslated region of sFRP1 gene is associated with risk of gastric cancer. PMID: 27739564
- This study suggested mechanistic relationship between miR-940 and Wnt/beta-catenin in the development and progression of pancreatic carcinoma through regulation of GSK3beta and sFRP1. PMID: 27459115
- In prostate cancer decreased SFRP1 expression can be due to occupancy of H3K27me3 or to promoter DNA hypermethylation. PMID: 27570179
- SFRP1 expression was significantly lower in cutaneous squamous cell carcinoma tissues than that in tissues of control subjects. Histopathological differentiation in CSCC negatively correlated with SFRP1 expression. PMID: 27420949
- miR-1303 promotes neuroblastoma (NB) proliferation by targeting GSK3beta and SFRP1, and might be a target for NB therapy. PMID: 27434867
- The secreted frizzled-related protein and disheveled protein family members appear to be actively involved in the pathogenesis of primary testicular germ cell tumors. PMID: 27599467
- Results show that SNPs rs4736958 and rs7832767 of SFRP1 gene were significantly associated with tuberculosis susceptibility and might influence the expression levels of inflammatory markers of tuberculosis patients in a Chinese Han population. PMID: 26643984
- Down-regulation of SFRP1 is associated with recurrence in Endometrioid Adenocarcinoma. PMID: 26397159
- SFRP1 downregulation may result from epigenetic silencing and is associated with worse survival in nasopharyngeal carcinoma PMID: 26276746
- in gliomas there was correlation of SFRP1 methylation with tumor grade and patients' survival PMID: 26337424
- Hepatocellular carcinoma patients with high SFRP1 expression in tumor tissue had a significantly better overall survival rate. PMID: 26851021
- Reduced SFRP1 expression is associated with acute myeloid leukemia. PMID: 25347432
- Hypermethylation of the selected markers (MAL, PRIMA1, PTGDR and SFRP1) can result in reduced gene expression and may contribute to the formation of colorectal cancer. PMID: 26482433
- SFRP1 is a direct target of MiR-27a in the regulation of glioma invasion and cell migration. PMID: 26164457
- In human mammary epithelial cells with either SFRP1 knocked down (TERT-siSFRP1) and rescued SFRP1 expression (MCF7-SFRP1), estrogen signaling is augmented. PMID: 25809273
- The increased placental expression of sFRP1 seen in smokers impairs fetal growth by inhibiting WNT signaling and trophoblast proliferation. PMID: 26413870
- miR-27a induced gene silencing contributes to bone metabolism in hFOB cells in vitro, which is partly affected by the post-transcriptional regulation of sFRP1, during osteoblast proliferation, apoptosis and differentiation. PMID: 24625818
- While SFRP1 re-expression generally mediated distinct patterns of transcriptionally induced or repressed genes in BT20 and SKBR3 cells, BDNF was a SFRP1-induced gene in both cell lines. PMID: 25036590
- sFRP1 protein displays antineoplastic activity. PMID: 25432334
- Knockdown of SFRP1 expression in RT112 cells resulted only in marginal effects. PMID: 25732201
- the DNA methylation levels of OPCML and SFRP1 could be potential biomarkers for diagnosis of CCA with high specificity, sensitivity, and accuracy, in particular for biopsy specimens PMID: 25652468
- Sfrp1 contributes to coordination of visual axon growth in retinal ganglion cells. PMID: 25788689
- study indicates that increased expression of both SFRP1 and SFRP3 may contribute to the pathogenesis of IUGR placental dysfunction, whereas the loss of these proteins may be involved in the development of human trophoblastic tumors. PMID: 25046226
- Polymorphisms in several genes involved in the Wnt signaling pathway were associated with hepatic fibrosis or inflammation risk in HCV-infected males. PMID: 24386373
- Coexpression of SFRP1 and WIF1, rather than SFRP1 or WIF1 alone, could be used, together with low TNM stage, as a prognostic predictor of favorable outcomes in CRC. PMID: 24949429
- Our study provided the first evidence that SNPs in CTNNB1 and SFRP1 were associated with tuberculosis risk, and genetic variants in Wnt signaling pathway might participate in genetic susceptibility to tuberculosis in Chinese Han population. PMID: 24695522
顯示更多
收起更多
-
亞細胞定位:Secreted. Note=Cell membrane or extracellular matrix-associated. Released by heparin-binding.
-
蛋白家族:Secreted frizzled-related protein (sFRP) family
-
組織特異性:Widely expressed. Absent from lung, liver and peripheral blood leukocytes. Highest levels in heart and fetal kidney. Also expressed in testis, ovary, fetal brain and lung, leiomyomal cells, myometrial cells and vascular smooth muscle cells. Expressed in f
-
數據庫鏈接:
Most popular with customers
-
-
Phospho-YAP1 (S127) Recombinant Monoclonal Antibody
Applications: ELISA, WB, IHC
Species Reactivity: Human
-
-
-
-
-
-













